Frenectomy & Frenuloplasty

Frenectomy & Frenuloplasty Treatment In Kolkata

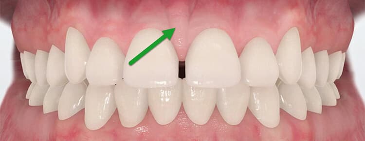
It is one type of procedure (Lasersurgical, Electrosurgical, conventional)in which our experienced surgeons remove/modify/release a band of tissue(Frenum) completely or partially that connects the underside of the tongue with the bottom of the mouth in a abnormal way(called Ankyloglossia or tongue tie) or remove/relocate/modify the abnormally attached tissue(Frenum) from inner surface of lips to gum or anterior hard palate. If this process is not done speech problem (specially in kids), problem during eating,gum problem, artificial Denture making problem,teeth malalignment or spacing between teeth may occur. If indicated you can take your appointment from DENTITY DENTAL for specialist Doctors of this field.

Frenectomy & Frenuloplasty
Frenectomy & Frenuloplasty

Why Choose Dentity Dental

20 +

Years of Services

10,00,000 +

Patients Served

5 +

Trusted Awards

9 +

Multiplicity Dental Clinic

Book Appointment

See Other Treatments

EVERY TOOTH IN A PERSON IS MORE VALUABLE THAN A DIAMOND. Smile is the first thing people notice when they meet one another. Smile is something that can change the world. So in our DENTITY DENTAL Clinics we create a confident smile for you.

Whats AppCall Now