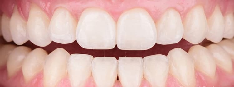
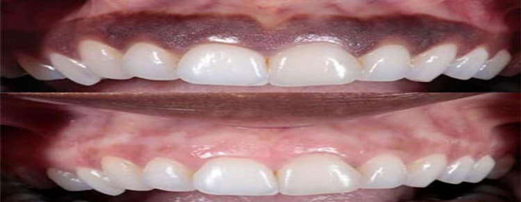
Depigmentation Of Gums

Depigmentation Of Gums Treatment In Kolkata

This process comes under oral cosmetic plastic surgery. Persons with high smile line if have black or hyperpigmented gum & by profession or by passion have the urge to get a beautiful smile prefer to undergo this process.Gum depigmentation or gum bleaching can be done by bur abrasion,partial thickness flap surgery, gingival scraping, cryotherapy, electrosurgery,laser surgery etc.We, Dentity Dental provide all types of this kind of services as per your demand, requirement&indication.Click &come to our clinic to get beautiful gum.

Depigmentation Of Gums
Depigmentation Of Gums

Why Choose Dentity Dental

20 +

Years of Services

10,00,000 +

Patients Served

5 +

Trusted Awards

9 +

Multiplicity Dental Clinic

Book Appointment

See Other Treatments

EVERY TOOTH IN A PERSON IS MORE VALUABLE THAN A DIAMOND. Smile is the first thing people notice when they meet one another. Smile is something that can change the world. So in our DENTITY DENTAL Clinics we create a confident smile for you.

Whats AppCall Now