Electro Surgery

Electro Surgery Treatment In Kolkata

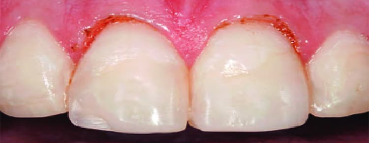
This is an advanced non-conventional precise oral surgical procedure used for the excision of oral infected or pathological soft tissue, electrocoagulation, electrocautery,crown lengthening, gingivectomy,removal of oral soft tissue growth with minimum or negligible bleeding & minimum intervention to adjacent living tissues.We have lots of satisfied patients who had undergone electrosurgery.

Electro Surgery
Electro Surgery

Why Choose Dentity Dental

20 +

Years of Services

10,00,000 +

Patients Served

5 +

Trusted Awards

9 +

Multiplicity Dental Clinic

Book Appointment

See Other Treatments

EVERY TOOTH IN A PERSON IS MORE VALUABLE THAN A DIAMOND. Smile is the first thing people notice when they meet one another. Smile is something that can change the world. So in our DENTITY DENTAL Clinics we create a confident smile for you.

Whats AppCall Now